饶毅实验室研究进展|同时监测和控制睡眠需求的分子指针及控制

 

202391日,饶毅实验室发表其第七篇睡眠分子机理的研究论文。

饶毅实验室2017年、2019年、2021年发表四篇用果蝇研究睡眠机理的文章,2018年发表一篇用小鼠研究睡眠的文章。2022年发表一篇文章,在果蝇和老鼠都发现蛋白激酶LKB1促进睡眠。

最近,他们发表研究文章,提出蛋白激酶SIK3上有一个氨基酸位点,其磷酸化修饰与睡眠需求密切相关:睡眠需求越大,T221位点磷酸化的SIK3就越多,所以T221的磷酸化是动物睡眠需求的分子监控。饶毅实验室进一步发现,如果221位点不能被磷酸化,动物的睡眠需求就下降,因此T221磷酸化同时也在功能上调控睡眠需求。这篇论文最重要的结论是:一个分子的单个位点的化学修饰同时是睡眠需求的监控者和调节者。

这是睡眠机理在分子水平理解的一个重要进展。

它还带来对于睡眠研究技术上的推进:以往只能通过检测活体动物才能了解睡眠,而现在可能在分子水平先研究睡眠,之后再在活体动物验证分子水平的发现。这不仅对基础研究重要,而且带来了筛选药物的革命性变化:因为所需化合物的量大大减少,所以可以筛选的化合物种类和数量大大增加。可能预示着安眠药和觉醒药都可能因此迎来新时代。

文章发表在美国遗传学会主办的、摩尔根创办的《遗传学》杂志上。作者为研究生李扬、技术员李成钢、博士后刘玉祥、研究生余建军、技术员杨靖群和崔云凤、研究生王涛、博士后李超逸和姜丽芬、技术员宋美玲,通讯作者饶毅。

睡眠需求由睡眠觉醒的情况所调节:睡眠越多,需求越少;睡眠越少,需要越多。这也是睡眠的“自稳态”调节。正常的人睡眠-觉醒过程中,早上睡眠需求最低,晚上睡眠需求最高(小鼠相反)。如果前一晚睡的太少,其后睡眠需求增加;如果前一晚睡的太多,睡眠需求降低。如果实验剥夺睡眠,其后睡眠需求提高。

2016年,日本筑波大学的Masashi Yanagisawa通过正向遗传筛选,发现SIK3基因突变影响小鼠睡眠。他们发现的SIK3基因突变,导致SIK3蛋白激酶的活性增加,而小鼠睡眠增加,说明SIK3的功能是促进睡眠。此后他们发现小鼠的SIK1SIK2功能增加也导致小鼠睡眠增加。

饶毅实验室现在报道,他们发现,如果去除小鼠的SIK1SIK2基因,小鼠睡眠毫无变化。

 图片
图片

说明SIK12两个基因并不参与正常睡眠过程,原来Yanagisawa实验室发现的能够增加的SIK12突变只是其异常功能,不是正常生理功能。饶毅实验室观察到:基因敲除SIK3后,发现睡眠确实有所降低,说明SIK3在生理情况下调控小鼠睡眠。
图片

这一套遗传实验,说明在小鼠的三个SIK基因中,只需要专注研究SIK3对睡眠的作用,因为只有它是睡眠所需要的,只有它是生理上参与睡眠调控的,而无需进一步研究SIK12与睡眠的关系。

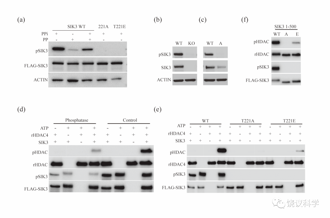
饶毅实验室获得特异单克隆抗体,专门识别SIK3上磷酸化的T221位点。他们进一步发现,T221的磷酸化提高SIK3蛋白质的稳定性,而且也提高SIK3的蛋白激酶活性。这两个作用是独立的,而不是通过提高稳定性再提高酶活性。
图片

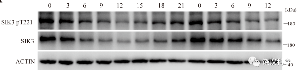
用识别T221磷酸化的抗体,饶毅实验室发现:T221磷酸化与睡眠需求呈正相关。他们每三小时收集12只小鼠脑,收集36小时。发现小鼠在刚刚开灯的时候,SIK3T221磷酸化最高,而随着小鼠在白天睡眠时间增加,T221的磷酸化逐渐降低,到醒的时候磷酸化最低。随着晚上小鼠觉醒时间增加,T221的磷酸化逐渐增加,到开灯临睡时最高。如此呈周期性变化。

 图片
图片

他们还发现,如果剥夺小鼠睡眠六小时,T221磷酸化也增加。

 图片

这些结果说明无论是正常睡眠,还是实验剥夺睡眠,都显示T221的磷酸化随睡眠需求的增加而增加,也就是说:T221的磷酸化是睡眠需求的分子监测。

在功能上,小鼠睡眠需求可以通过检测小鼠的脑电图(EEG),分析其NREM(非快动眼睡眠)delta波的密度而获知。饶毅实验室进一步发现,如果突变SIK1SIK2T221相应位点,使之不能被磷酸化,小鼠睡眠没有改变,而且小鼠的睡眠需求也不改变。

但是,如果突变SIK3T221位点,使之不能被磷酸化,小鼠的睡眠需求显著下降。这说明SIK3T221参与调控睡眠需求。

 图片

T221不能磷酸化的情况下,睡眠剥夺后,小鼠恢复睡眠的过程也减少。

 图片

这些研究说明SIK3的T221位点的磷酸化,既是睡眠需求的分子指针,也是睡眠需求的分子控制。迄今为止,只发现一个分子、一个位点同时有这两方面的作用。

因此,饶毅实验室提出了SIK3之T221位点磷酸化与睡眠需求的关系:

 图片

Qian YJ, Cao Y, Deng BW, Yang G, Li J, Xu R, Zhang D, Huang J and Rao Y (2017). Sleep homeostasis regulated by 5HT2b receptor in a small subset of neurons in the dorsal fan-shaped body of Drosophila. eLife 6:e26519.

Zhang X, Yan HM, Huang ZL and Rao Y (2018). Independence of 5HT involvement in sleep and arousal from thermoregulation in mice. Mol Pharmacol 93:657-664.

Deng BW, Li Q, Liu XX, Cao Y, Li BF, Qian YJ, Xu R, Mao RB, Zhou EX, Zhang WX, Huang J and Rao Y (2019) Chemoconnectomics: mapping chemical transmission in Drosophila. Neuron 101:876-893.

Dai XHM, Zhou EX, Yang W, WX Zhang and Rao Y (2019). D-Serine promotes sleep through the NMDA receptor in Drosophila melanogaster. Nature Communications 10:1986.

Dai XHM, Zhou EX, Yang W, Deng BW, Li Q, Liu XX, Zhang WX and Rao Y (2021). Molecular resolution of a behavioral paradox: sleep and arousal are regulated by distinct acetylcholine receptors in different neurons of Drosophila.Sleep 10, 1093.

Liu ZY, Jiang LF, Li CY, Li CG, Yang JQ, Yu JJ, Mao RB and Rao Y (2022). LKB1 is physiologically required for sleep from Drosophila melanogaster to the Mus musculus.Genetics 221, iyac082.

Li Y, Li CG, Liu YX, Yu JJ, Yang JQ, Cui YF, Wang TV, Li CY, Jiang LF, Song ML and Rao Y (2023). Sleep need, the key regulator of sleep homeostasis, is both Indicated and controlled by phosphorylation of threonine 221 in salt inducible kinase 3. Genetics 225,iyad136 (Biorxiv 2021.11.06.467421).
图片
图片